中国国际新闻台

当前位置:主页 > 社会 > 新闻热点 >

女子吸毒后吞下近10把剪刀(图)

来源: 红网 发布时间:2015-05-14
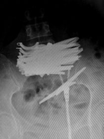
X光显示女子腹中的剪刀 X光显示女子腹中的剪刀

  红网长沙5月14日讯 (潇湘晨报记者 杜方江) 5月13日上午,42岁的曲颖(化名)躺在省直中医院普外科的病床上。前一天晚上,其因腹痛被路人发现后拨打120,送往医院救治。X光片显示,其中下腹部横亘着一捆剪刀,曲颖称自己为了躲避被抓,便吞下了剪刀。

  在和潇湘晨报记者交谈时,曲颖的思维很清晰,表达也很顺畅,对于自己的经历,她并不避讳,“2011年7月末我吸毒被抓,被强制戒毒,直到2013年6月末被放出来。”

  在表达自己为什么吞下剪刀时,曲颖的表情显得有些痛苦,“我走在哪里,都有人举着手机拍我,天天都有人追我,让我有些生不如死,感觉警察在抓我,才吞下了这么多的剪刀。”

  曲颖称剪刀是在路边商店买的,5元钱一把,“大概在几天前,我开始吞,一共大概吞了10把,吞前我把剪刀掰成两半,一半一半吞下去的。”

  5月12日晚,曲颖一个人在四桥下被路人发现,“当时我肚子痛,有个路过的人看我很痛苦,就帮我拨打了120。”

  当天晚上,省直中医院急诊科对曲颖进行了抢救,随后送往普外科住院治疗,从X光片可见一捆剪刀横亘在其中下腹部,剪刀长近12厘米。医生诊断腹部肠管少量积气,未见明显液气平面和肠管扩张。

  曲颖的身上分文不名。普外科医生为她进行输液治疗,昨天下午,记者联系上了曲颖的姐夫王先生,他证实曲颖有吸毒史。 “医生称需要手术才能拿出剪刀。”王先生说。

  对于曲颖称到处是人拍她,有人追自己,株洲市中心医院临床心理科主任汤信海表示,这很有可能是因为吸毒所致的幻觉表现,其出现了被害妄想,“患者觉得自己被跟踪、被监视,需要治疗”。

(原标题:女子因吸毒致幻 吞下近10把剪刀)

    新闻热点

    娄勤俭寄语南通:要努力成为沿海崛

    资讯排行

    网站简介 - 诚聘英才 - 证件查询 - 广告服务 - 联系我们 - 电脑版 - 移动端
    Copyright © 2017 中国国际新闻台 版权所有 Power by DedeCms
    本台所刊登的中国国际新闻台各种新闻﹑信息和各种专题专栏资料,均为中国国际新闻台所有,未经协议授权禁止下载使用。

    返回顶部