中国国际新闻台报道天下新闻!

中国国际新闻台

当前位置:主页 > 社会 > 新闻热点 >
女子与丈夫争吵后用塑料袋憋死2岁儿子(图)

2015-05-14 10:06:00

一起生活多年并养育一双儿女,两口子却因生活琐事常大打出手。在去年10月的一次激烈冲突后,25岁的河北女孩贾利园因2岁的儿子吃东西、玩玩具发出声音而心生愤怒,连续摔、掐儿子,又用塑料袋套在孩子头上,并用棉被压盖,导致 ... [详细]

窃贼盗走老太家中鸟浴池 写纸条道歉称情非得已

2015-05-14 10:04:00

中新网5月14日电据“中央社”报道,日前,英格兰北部一位82岁老太太家花园里的鸟浴池被盗,在她报案后不久,窃贼重返现场,留下手写的纸条道歉,称自己偷窃是“情非得已”。纽卡索(Newcastle)的琼·克莱利向警方表示,这个灰色 ... [详细]

2015-05-14 09:49:00

广州日报讯(记者章程通讯员周琨)30多岁的黄某是同性恋,和15岁的小男友交往2个月后,对方竟声称正在交往一个女朋友,黄某听后暴怒不已,以死威胁对方不准找女人,但对方不为所动,争执间,黄某将男友残忍杀害。昨日,记者从广 ... [详细]

2015-05-14 09:45:00

中新网5月14日电据外媒报道,俗话说“人有三急”,不过英国一名孕妇如厕的时候可能有点太“急”了,结果把自己的一对双胞胎儿子生在厕所里。不过,好在母子三人都平安无事。据报道,36岁的奥利维亚?亚伯拉罕斯(OliviaAbrahams) ... [详细]

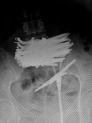
女子吸毒后吞下近10把剪刀(图)

2015-05-14 09:31:00

红网长沙5月14日讯(潇湘晨报记者杜方江)5月13日上午,42岁的曲颖(化名)躺在省直中医院普外科的病床上。前一天晚上,其因腹痛被路人发现后拨打120,送往医院救治。X光片显示,其中下腹部横亘着一捆剪刀,曲颖称自己为了躲避被抓 ... [详细]

践诺还款小伙在北京月薪3千 为省钱常吃泡面

2015-05-14 08:21:00

3年前,为父治病网上筹款57万元,承诺3至5年内加息还款3年后,当年救助人已忘记此事,但他从3月开始如约还款天津小伙践诺还款赢“赞”刘畅肖琳亚孟若冰事件回顾大学生以人格担保筹款救父2012年,许涛[微博]还是北京化工大学即 ... [详细]

2015-05-14 08:06:00

组建了中国历史上首支正规编制的“炮兵”的明代著名将领柳升县人,战死沙场后被安葬在现在的怀宁县清河乡清河社区柳林组。柳升后人散居全国各地。因为当年的一句承诺,世代居住这里的李姓族人担起了看护柳升墓的重任,这一守就 ... [详细]

85后女副局长因薪水少辞职 硕士刚毕业当上副局

2015-05-14 06:59:00

楚天都市报讯昨日,一则“湖北一85后美女副局长辞职找工作,愿当转型样本”的新闻,在网络上引发热议。从体制内到体制外,从宜昌市秭归县人社局副局长到重新投简历求职,1985年出生的湘妹子黄艳,正经历人生的重要转折。黄艳为 ... [详细]

男子在处罚书上签名“X你妈”将被拘3日

2015-05-14 05:40:00

广州日报深圳讯(记者周伟良)因不服交警处罚,男子包某竟在处罚书上签脏话骂人,记者昨日获悉,深圳交警拟对包某作出3日的行政拘留处罚。据悉,这是深圳交警办理的首宗通过书写下流文字公然侮辱正在执勤的交通警察,构成拒绝、 ... [详细]

2015-05-14 05:40:00

被法院认定侵犯名誉权须书面道歉广州日报讯(记者章程)一已婚男子冒充高富帅还谎称自己未婚,拥有外国国籍,花都女子琳琳(化名)信以为真,还为他生下了儿子,一心等着他回国生活后结婚。孰料,谎言被戳破后,该男子竟联手妻子一 ... [详细]

协警救落水者被指自导自演 目击者作证为其澄清

2015-05-14 05:19:00

昨天,金华不少人的朋友圈都被这件事刷屏了——今年五一小长假期间,金华交警一大队的一名叫陈攀的协警在巡逻时,在金华婺城区安地镇郑宅二村附近,救了一名七八岁的落水男童。前两天,交警队得知此后事准备为陈攀申报“见义勇 ... [详细]

2015-05-14 05:19:00

本报讯头疼、抽搐,是什么折磨12岁女孩婷婷(化名)长达四年之久?手术之后,发现“凶手”竟然是一条寄生在脑子里、20厘米长的寄生虫。昨天,浙医二院滨江院区神经外科副主任医师石键告诉钱报记者,这种寄生虫学名叫曼氏裂头蚴 ... [详细]

2015-05-14 03:31:00

华商报讯(记者宁军通讯员李季平)人在户县,银行卡却在异地被盗刷。认为银行未尽到保障储户财产安全的义务,姚先生起诉银行要求赔偿。近日,西安中院二审判决,姚先生与银行各自承担一半责任。>>储户两分钟收两条短信4万多元存 ... [详细]

公交站台被小广告贴满 站牌垃圾桶也未幸免(图)

2015-05-14 03:20:00

网友:密集恐惧症者慎入各种各样的街头小广告被称为“街头牛皮癣”,一直是让城管头疼的问题。昨天,有网友发帖称,苏州工业园区的一处公交站台完全被各种“收购电子”的小广告贴满,连旁边的垃圾桶和公交站牌也没能“逃过毒手 ... [详细]

村干部拦货车索4千元过路费 称收钱为修路(图)

2015-05-14 03:20:00

“我是泗洪拉木材的货车司机,我们有十几台车被扣在泗洪县四河乡雪五村已经三天多了,村里干部要我们缴纳4000元的过路费才能放行……”昨日上午,一位货车司机小王向现代快报求助,称自己和十几位货车司机在泗洪县四河乡遭遇“ ... [详细]

社会

“直播带货”消费维权 平台、主播

资讯排行

网站简介 - 诚聘英才 - 证件查询 - 广告服务 - 联系我们 - 电脑版 - 移动端
Copyright © 2019 中国国际新闻台 版权所有 Power by DedeCms
本台所刊登的中国国际新闻台各种新闻﹑信息和各种专题专栏资料,均为中国国际新闻台所有,未经协议授权禁止下载使用。

返回顶部